
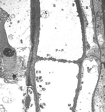
Sieve tube without (S) and companion cells with nuclei (B). They are bordered by a parenchyma cell (P). The sieve tube contains sieve tube plastids (SP of the S-Type), mitochondria (M), endoplasmatic reticulum (ER) and P-proteins (P-P). The sieve plate (P1) is perforated by pores. (H.-D. BEHNKE, 1981)